Raajojen luiden kasvulinjojen liian aikainen sulkeutuminen aiheuttaa raajojen epänormaalia taipumista ja kyynär-, kinner- ja polvinivelen epämuotoisuutta. Etujalassa yleisintä on kyynärluun alapään kasvulinjan ennenaikainen sulkeutuminen. Tämä johtaa epäsuhtaan kyynär-ja värttinäluun pituudessa, eturaajojen luiden epänormaaliin taipumiseen ja kyynärnivelen epämuotoisuuteen. Lopputuloksena voi olla kyynärnivelen nivelrikko. Kyynärnivelten röntgenkuvauksella voidaan vastustaa kyynärnivelten kasvuhäiriöitä.
Takajaloissa sääriluun sisäpuolisen kasvulinjan sulkeutuminen johtaa jalan taipumiseen sisäänpäin kintereestä alaspäin (pes varus). Kirjallisuuden perusteella tämä on nimenomaan mäyräkoirien kasvuhäiriö. Pes varukseen voi liittyä myös polvilumpion sijoiltaan meno. Hoitamattomana tämä kasvuhäiriö voi johtaa kinner- ja polvinivelen nivelrikkoon. Kasvuhäiriö huomataan usein tutkittaessa nuoren koiran ontumaa tai koiran jalan epänormaalia asentoa tai liikerataa.
Hoitona etu- ja takajalan vaikeissa kasvuhäiriöissä käytetään nuorena tehtyä luiden oikaisuleikkausta. Raajojen taipumista esiintyy lievänä ja oireettomana, joten se on alidiagnosoitu ongelma. Vakavampia, leikkaushoitoa vaatineita etu- ja takaraajan kasvuhäiriöitä on tiedossa useita.
Vanhemmilla koirilla ontumisen syynä voi olla epämuodostuneeseen niveleen kehittyvä nivelrikko. Kasvulinjojen liian aikainen sulkeutuminen voi johtua tapaturmasta, mutta useimmiten se tapahtuu mäyräkoirilla ilman tapaturmaa ja sitä pidetään niillä perinnöllisenä. Perinnöllisyysmekanismista ei ole tietoa.
Rotumääritelmässä kiinnitetään huomiota raajojen suoruuteen edestä ja takaa katsottuna, etujalat eivät myöskään saa taipua eteenpäin. Rotumääritelmä varmasti osaltaan vähentää tämän kasvuhäiriön esiintymistä. Koiria, joilla kasvulinjat sulkeutuvat liian aikaisin ei tule käyttää jalostukseen. Linjoja, joissa tätä kasvuhäiriötä tiedetään olevan, ei tule yhdistää. Jalostukseen ei tule käyttää koiraa, jolla on useita tällaisia jälkeläisiä.
Eturaajojen kasvuhäiriöihin on olemassa kuvantamismenetelmä, josta voit lukea lisää Kennelliiton sivuilta.
Lisää pes varuksesta voit lukea tämän sivun alaosasta.
Pes varus – huonosti tunnettu mäyräkoirien perinnöllinen sairaus
Teksti: Anu Lappalainen, ELT, dos., pieneläinsairauksien erikoiseläinlääkäri
Pes varus on latinaa ja tarkoittaa sisäänpäin (varus) kääntynyttä jalkaa (pes). Koiralla tämä tarkoittaa kintereestä sisäänpäin taipuvaa takajalkaa.
Koiranpennun raajojen luut kasvavat pituutta molemmista päistä rustoisten kasvulevyjen kohdalta. Pienellä pennulla kasvulevyt ovat leveät mutta kapenevat vähitellen rustosolujen muuttuessa luuksi. Kun kaikki rustosolut ovat luutuneet, kasvulevy sulkeutuu ja luun pituuskasvu loppuu.
Pes varus syntyy, kun sääriluun (tibia) alempi kasvulevy sulkeutuu sisäosastaan liian aikaisin, ja luu jatkaa kasvuaan ulkoreunasta. Tämän seurauksena luun ulko-osa on pidempi kuin sisäosa ja jalan alaosa taipuu sääriluun ja kintereen telaluun (talus) välisestä nivelestä sisäänpäin kohti keskilinjaa.
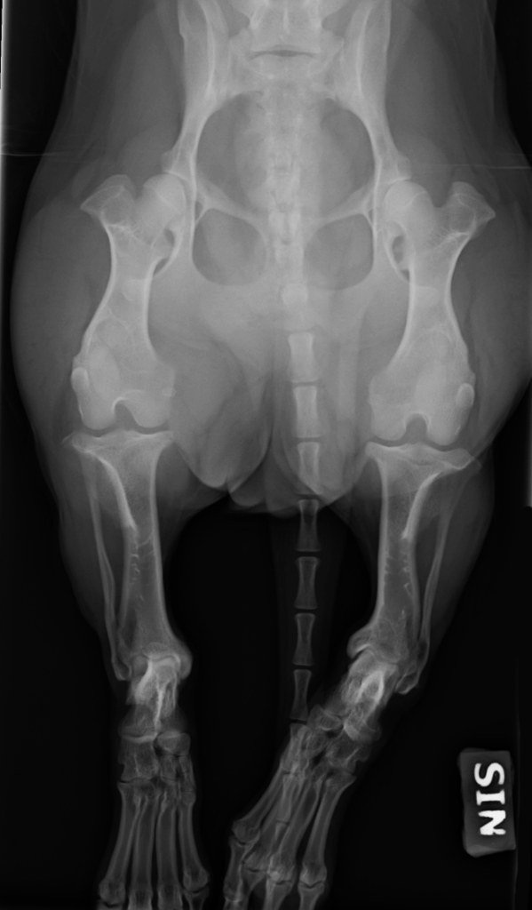
Kuva 1 on selällään otettu röntgenkuva karkeakarvaisen mäyräkoiran takajaloista, jossa muutos näkyy selvästi. Mitä aikaisemmin sisäpuolen kasvulinja sulkeutuu, sitä enemmän jalka vääntyy ja sitä pahempia ovat oireet. Useimmiten pes varus on vain toisessa jalassa, mutta se voi olla myös molemminpuolinen.
Tapaturma voi aiheuttaa kasvulinjan liian aikaisen sulkeutumisen, mutta mäyräkoirilla pes varuksen taustalla ei yleensä ole tapaturmaa. Mäyräkoirilla esiintyy pes varusta enemmän kuin muilla koiraroduilla ja sillä on perinnöllinen tausta. Pes varus liittyy siis raajojen lyhytkasvuisuuteen (kondrodystrofia) samoin kuin etujalassa esiintyvä kyynärluun (ulna) alapään kasvulinjan ennenaikainen sulkeutuminen. Periytymisen mekanismit eivät kuitenkaan ole tiedossa.
Pes varuksen yleisyyttä mäyräkoirilla ei tiedetä, mutta ilmeisesti se ei ole kovin yleinen. Englannissa tehdyssä terveyskyselyssä pes varus -diagnoosi oli 0,9 prosentilla koirista. Todennäköisesti kuitenkin lievät tapaukset jäävät diagnosoimatta ja sairaus on yleisempi kuin luullaan.
Pes varus muodostuu siis luuston kasvun aikana 5–8 kuukauden iässä, ja siihen voi liittyä myös polvilumpion luksaatio. Lievimmillään koira on tois- tai molemminpuolisesti ”länkisäärinen”, mutta vakavimmillaan jalka on niin vääntynyt, että se aiheuttaa koiralle liikkumisvaikeuksia ja johtaa hoitamattomana rampauttavaan nivelrikkoon.
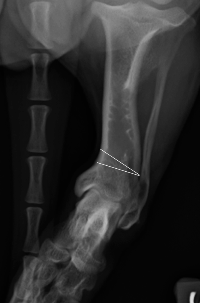
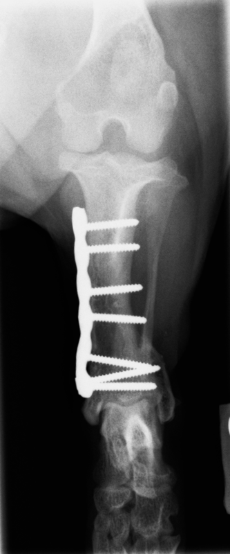
Diagnoosi voidaan varmistaa röntgenkuvauksella ja sairauden hoito on kirurginen. Sääriluun alapää katkaistaan ja luusta poistetaan kolmion muotoinen pala (kuva 2) niin, että jalka saadaan suoraan asentoon. Jalkaan asetetaan metallilevy (kuva 3A), joka poistetaan myöhemmin, kun leikkauskohta on täysin luutunut (kuva 3B). Fysioterapia leikkauksen jälkeen nopeuttaa paranemista. Ajoissa tehdyn leikkauksen ennuste on hyvä, ja suurin osa koirista elää leikkauksen jälkeen normaalin ontumattoman elämän.

Kuva 1: Vasemman (SIN) takajalan pes varus yhdeksän kuukauden ikäisellä karkeakarvaisella mäyräkoiranartulla. Jalan alaosa taipuu kintereestä voimakkaasti sisäänpäin.

Kuva 2: Leikkauksessa luusta poistetaan kolmion muotoinen pala niin, että jalka-akseli saadaan suoristettua.


Kuva 3: Heti leikkauksen jälkeen otettu röntgenkuva, jossa näkyy, kuinka jalan akseli on nyt suora (A) ja kolme kuukautta myöhemmin ennen levyn poistoa otettu röntgenkuva, jossa nähdään, että sääriluu on täysin luutunut ja jalka on oikeassa asennossa (B).
Lisätietoa – Tilläggsinformation:
Polvilumpion sijoiltaanmeno eli patellaluksaatio
Polvinivelen rakenteelliset heikkoudet altistavat patellaluksaatiolle eli polvilumpion sijoiltaan menolle. Jalka-asento on virheellinen ja polvilumpion telaurat ovat liian matalat.
Patellaluksaatiota esiintyy suhteellisen runsaasti kääpiöroduilla ja sellaisilla suuremmilla roduilla, joilla on suora takajalka. Vika on periytyvä. Polvilumpion rakennetta säätelevät useat eri geenit, joiden esilletuloa myös ympäristö muokkaa.
Pienikokoisilla roduilla polvilumpio luksoituu yleensä sisäänpäin (mediaalisesti). Patellaluksaatio on synnynnäinen ja jaetaan vian vakavuuden perusteella neljään eri asteeseen. Eläinlääkäri tutkii polvet tunnustelemalla. I -asteen luksaatiot ovat tavallisesti oireettomia eivätkä kaipaa hoitoa. II- ja III -asteen luksaatioissa koiralla havaitaan selviä liikkumisvaikeuksia. Ravatessaan koira koukistaa hetkittäin raajaansa sen sijaan että tukeutuisi sillä maahan (polvilumpio on luiskahtanut pois paikoiltaan), ja
jatkaa sitten normaalia ravia (polvilumpio on palautunut paikoilleen). IV -asteen luksaatiossa polvilumpio on pysyvästi pois paikoiltaan. Usein oireet huomataan tapaturman jälkeen, vaikka kyseessä on synnynnäinen vika. Patellaluksaatio voi myös pahentua eikä nuorena saatu tulos välttämättä ole lopullinen.
Huomioithan, että patellaluksaatiotutkimus ei kerro koiran riskistä sairastua ristisideongelmaan. Lievien patellaluksaation muotojen hoidoksi riittää yleensä lepo ja kipulääkitys. Jos tämä ei auta, patellaluksaatiota voidaan hoitaa kirurgisesti. Leikkausmenetelmiä on useita. Vaikeimman asteen luksaatioissa hoito voi vaatia useita leikkauksia ja ennuste voi olla huono.
Arvostelussa käytetään Putnamin asteikkoa. Luksaatio voi olla mediaalinen tai lateraalinen (tai molempia).
Patellaluksaation arviointi – Putnamin asteikko
| 0 | Polvilumpio ei luksoidu. |
| Aste 1 | Polvinivel on lähes normaali. Polvilumpiota voidaan liikutella helpommin kuin normaalisti ja patella saadaan luksoitumaan mikäli polvea samalla ojennetaan. Patella saattaa luksoitua ajoittain, mutta se palautuu itsestään paikoilleen. Polvilumpion suoran siteen kiinnityskohta saattaa olla lievästi kiertynyt. |
| Aste 2 | Polvilumpio on tavallisesti paikoillaan raajan ollessa ojennettuna. Lumpio luksoituu polvea koukistettaessa tai rotatoitaessa (kierrettäessä) ja pysyy poissa telaurasta kunnes se asetetaan takaisin paikoilleen. Sääriluun (tibia) yläosa on kiertynyt jopa 30 astetta sisäänpäin (pienet koirat). |
| Aste 3 | Polvilumpio on yleensä luksoituneena. Lumpio saadaan asetettua tilapäisesti paikoilleen. Sääriluun yläosa on kiertynyt jopa 30–60 astetta. |
| Aste 4 | Polvilumpio on pysyvästi sijoiltaan, eikä se pysy telaurassa ilman leikkausta. Sääriluun yläosa kiertynyt jopa 90 astetta. |


